The 52nd Nuclear Medicine Imaging Conference update: Apr 5, 2002

Case No.

TT07

ST03

KM04

KS08

TH01

OS02

lecture

全ての画像は小さく示してあります.拡大または全画像を見るときは,画像をクリックすると、新たに拡大画像のウィンドウが開きます。


CaseTT07

Case A

Case B

あなたの診断はWhat is your first impression?

top


CaseST03

あなたの診断はWhat is your first impression?

top


CaseKM04

あなたの診断はWhat is your first impression?

top


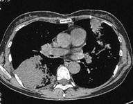
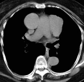
CaseKS08

Case A

X-ray CT

Case B

あなたの診断はWhat is your first impression?

top


CaseTH01

あなたの診断はWhat is your first impression?

top


CaseOS02

あなたの診断はWhat is your first impression?

top


lecture

I-131 MIBGによる褐色細胞種の治療経験

治療用の高比放射能MIBGは,放射性医薬品として承認を受けていない状況であり,使用する施設は,いわゆる「放射線障害防止法」の許可を受けねばならない.

2001(平成13)年10月に金沢大学医学部附属病院の新病棟がオープンし,それに合わせてアイソトープ病棟は医療法と障害防止法両者の許可を取得した.

昨年のオープンとほぼ同時にI-131 MIBGによる悪性褐色細胞腫症例を治療した.

施設の紹介と合わせて,適応の決定,治療方法の実際,留意点を報告する.


Image Conference Index Page Nuclear Medicine Home

ご意見,質問のメールはnakajima@med.kanazawa-u.ac.jp