Case TM01
肥大性骨関節症,
Hypertrophic
osteoarthropathy
症例解説と読影のポイント
- 読影のポイント:
- 骨シンチにて、手足の骨(中手骨、中足骨、指骨)および関節部に、両側対称性の集積亢進を認める。治療後(約5カ月後)の骨シンチでは、この異常集積は消失している。
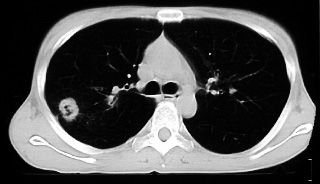
- 胸部CTにて、右上肺野に、spiculaを伴った腫瘤を2ヶ所認め、肺癌が疑われる。


- 症例解説
- 両膝、手指関節痛およびばち状指を主訴に来院。胸部CTにて肺癌が疑われ、骨転移検索目的の骨シンチにて、両手足に集積亢進を認めた。右上葉切除術施行(double
primaryの腺癌)直後より関節の症状は消失し、5ヶ月後の骨シンチも正常化した。以上より、肺癌に伴う肥大性骨関節症と確認されたが、骨シンチでの異常集積は手足のみで、特徴的とされる長管骨への集積増強がなかったという点で、非典型的である。
- 鑑別リスト
- Thyroid acropathy
- Pachy dermoperiostosis
- Venous insufficiency
- 文献
- Uchisako H, et al. Bone Scintigraphy in Growth
Hormone-Secreting Pulmonary Cancer and Hypertrophic
Osteoarthropathy. J Nucl Med 1995; 36:822-825
- Ali A, et al. Distribution of Hypertrophic Pulmonary
Osteoarthropathy. AJR 1980; 134:771-780
Back
Case Index
Nucl
Med Home
Update: Dec 1/98